Gas-kvas.com


на рисунке представлен электронный микрофотоснимок клетки печени животного заполните таблицу для срисовки

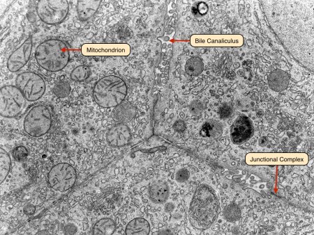
Рисунок представляет собой электронный микрофотоснимок клетки печени животного. Это изображение может быть использовано для заполнения таблицы или анализа структуры и состояния клетки печени. Визуальные данные, полученные с помощью электронной микроскопии, позволяют увидеть мельчайшие детали клеточных компонентов и органелл. Результаты такого анализа могут быть полезными для изучения болезней печени или проведения научных исследований в области биологии и медицины.



Клетка печени животного строение
Клетка печени животного строение

Таблица схемаимч рисунки клеточн структуры особенно ТМ
Таблица схемаимч рисунки клеточн структуры особенно ТМ

Перед вами микрофотография заполните таблицу в матрице ответов
Перед вами микрофотография заполните таблицу в матрице ответов

Заполните таблицу указав значение приведенных на рисунке :
Заполните таблицу указав значение приведенных на рисунке :

Схема строения гепатоцита гистология
Схема строения гепатоцита гистология

Схема строения животной клетки по данным электронного микроскопа
Схема строения животной клетки по данным электронного микроскопа

Схема строения гепатоцита гистология
Схема строения гепатоцита гистология

Строение гепатоцита гистология
Строение гепатоцита гистология

Гепатоциты рисунок
Гепатоциты рисунок

Функции гепатоцитов гистология
Функции гепатоцитов гистология

Строение клетки эукариот
Строение клетки эукариот

Ядро клеток печени аксолотля
Ядро клеток печени аксолотля

Гепатоцит строение гистология
Гепатоцит строение гистология

Жировые включения препарат гистология
Жировые включения препарат гистология

Органоиды прокариотической клетки
Органоиды прокариотической клетки

Рис 2 схема строения животной клетки
Рис 2 схема строения животной клетки

Строение растительной животной и грибной клетки
Строение растительной животной и грибной клетки

Гепатоциты печени строение
Гепатоциты печени строение

Схема микроскопического строения клетки
Схема микроскопического строения клетки

Включения гликогена препарат гистология
Включения гликогена препарат гистология

Внутреннее строение листа таблица
Внутреннее строение листа таблица

Биология 5 класс рисунок клетки с органоидами
Биология 5 класс рисунок клетки с органоидами

Клетка щитовидной железы крысы микрофотография
Клетка щитовидной железы крысы микрофотография

Включения гликогена в клетках печени
Включения гликогена в клетках печени

Строение гепатоцита гистология
Строение гепатоцита гистология

Включения гликогена препарат гистология
Включения гликогена препарат гистология

Микропрепараты клеток растений под микроскопом
Микропрепараты клеток растений под микроскопом

Функции синусоидного капилляра печени
Функции синусоидного капилляра печени

Строение растительной животной грибной бактериальной клетки таблица
Строение растительной животной грибной бактериальной клетки таблица

Клетки печени гепатоциты
Клетки печени гепатоциты

Строение эукариотической клетки рисунок ЕГЭ
Строение эукариотической клетки рисунок ЕГЭ

Строение органоидов клетки рисунки
Строение органоидов клетки рисунки

Сравнение клеток растений животных грибов и бактерий
Сравнение клеток растений животных грибов и бактерий

Изучение фаз митоза в клетках корешка лука
Изучение фаз митоза в клетках корешка лука

Функция клетки листа мякоти листа
Функция клетки листа мякоти листа

5 Класс строение животной клетки органоиды
5 Класс строение животной клетки органоиды

Органоиды бактерий растений грибов животных
Органоиды бактерий растений грибов животных

Схема строения клетки животного
Схема строения клетки животного

Электронная микрофотография митохондрии
Электронная микрофотография митохондрии

Микрофотография клетки мезофилла листа
Микрофотография клетки мезофилла листа

Схема строения эукариотической клетки рисунок
Схема строения эукариотической клетки рисунок

Строение клетки мембрана цитоплазма органоиды ядро
Строение клетки мембрана цитоплазма органоиды ядро

Органоиды животной клетки схема
Органоиды животной клетки схема





На рисунке представлен электронный микрофотоснимок клетки печени животного заполните таблицу (48 фото)
На рисунке представлен электронный микрофотоснимок клетки печени животного заполните таблицу (48 фото)

Смотрите онлайн или можете скачать на телефон или компьютер в хорошем качестве совешенно бесплатно. Не забывайте оставить комментарий и посмотреть другие фотографии и изображения высокого качества, например рисунок встреча с животными и морские животные картинки рисунки из раздела Рисунки животных


Уважаемый посетитель, Вы зашли на сайт как незарегистрированный пользователь. Мы рекомендуем Вам зарегистрироваться либо зайти на сайт под своим именем.